Internal Bleaching at VanEndo
Discoloration of the front teeth is a cosmetic problem that will often require corrective measures. Although restorative methods such as crowns and veneers are available, discoloration can often be successfully corrected by a conservative procedure called internal bleaching.
What is internal bleaching?
Discoloration can occur in injured and infected teeth, as well as once endodontic treatment is complete. When this occurs, a bleaching agent is used to internally bleach the tooth. In most cases this procedure can resolve your tooth's discoloration. Successful results can be achieved within a week of initiating treatment, however, the procedure may need to be repeated a few times until the desired result is obtained.
It is important to note that not all discolorations can be successfully treated with internal bleaching. Please consult with the endodontist directly regarding the expected outcome in your particular case.
 
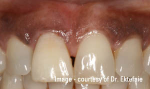
                            A traumatized and discolored maxillary incisor
 
                            Resolution of discoloration by internal bleaching
Nothing looks, feels or functions like your natural tooth.
VanEndo specialists perform routine, as well as difficult and very complex root canal treatment and surgeries.